ECO-DAP,
ECOGRAFÍA FUNCIONAL 2D-4D
ECO-DAP, ECOGRAFÍA FUNCIONAL 2D-4D. Valoración y Tratamiento.
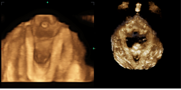
Ahora damos un paso más, además de la ecografía funcional en 2D introducimos la ecografía funcional en 4D. Este tipo de ecografía nos permite ver las estructuras anatómicas con volumen en tiempo real y calcular áreas anatómicas concretas, lo que amplia nuestras posibilidades de valoración y potencia nuestros resultados.
Especialmente es importante en las valoraciones durante el embarazo y el postparto así como para los pacientes operados de próstata.
ECOGRAFÍA FUNCIONAL DURANTE EL EMBARAZO
Es fundamental que las mujeres durante el parto, a partir de la semana 20 puedan evaluar su capacidad para realizar pujos sin que se produzca un estrechamiento del hiato urogenital. Sabemos que un porcentaje de mujeres, estimado en un 30%, al empujar no consiguen aumentar el espacio del hiato urogenital, si esto se produce el tiempo de expulsivo durante el parto vaginal puede duplicarse o triplicarse y sabemos que esto aumenta el riesgo obstétrico tanto para la mujer como para el bebé.
Mediante la ecografía funcional en 4D podemos valorar esta capacidad funcional en cada mujer para detectar aquellas mujeres que necesitan reeducar esta función antes del parto y con ello minimizar los riesgos. La reeducación se basa en el uso de la ecografía como sistema de biofeedback, consiguiendo que cada mujer sea capaz de realizar pujos de forma eficaz y segura.
ECOGRAFÍA FUNCIONAL EN EL POSTPARTO
Todas las mujeres que han pasado por un parto vaginal deberían realizarse una valoración funcional. Las revisiones ginecológicas oportunas, y por parte de las matronas, son absolutamente necesarias, también las de fisioterapia. Más aún, cuando el parto vaginal es el factor de riesgo más importante para la aparición de disfunciones de suelo pélvico (incontinencias, prolapsos, dolor pélvico).
Sumada a toda la información de la ecografía funcional en 2D, añadimos la información que nos aporta la ecografía funcional en 4D respecto a los músculos del suelo pélvico y los esfínteres Podemos observar la respuesta de los tejidos en tiempo real, conocer las medidas morfométricas de los músculos del suelo pélvico, la posición de los músculos dentro de la pelvis menor, la posición de la vejiga, el recto, el útero, la capacidad vesical, el control motor etc.


La evidencia científica respalda el uso de este tipo de ecografías en beneficio de la salud de las mujeres, desde Pelvicus ponemos a disposición de todas las mujeres que han pasado un parto vaginal la mejor valoración posible.
ECOGRAFÍA FUNCIONAL: HOMBRES INCONTINENCIA URINARIA
Los hombres operados de próstata, que han sufrido una prostatectomía radical, pueden tener problemas de incontinencia urinaria. Sólo la ecografía funcional puede darnos datos fundamentales para poder valorar y orientar correctamente un tratamiento de fisioterapia eficaz. La longitud del esfínter uretral externo, la apertura del cuello vesical, la respuesta refleja del esfínter uretral, la capacidad de contracción activa mantenida del esfínter uretral, etc. Permite evaluar parámetros que predicen la recuperación de la continencia tras cirugía de próstata y elegir el mejor tratamiento posible para conseguirlo.
ECOGRAFÍA FUNCIONAL TRANSABDOMINAL EN EL NIÑO
Sólo las imágenes de la ecografía funcional transabdominal en 2D permiten acceder a datos tan importantes cómo:
- La distensión rectal.
- La capacidad vesical.
- El residuo postmiccional.
- El control motor de los esfínteres y el suelo pélvico.
- El grosor de la pared vesical.
- La presencia de un fecaloma.
Estos son aspectos fundamentales para poder evaluar y tratar eficazmente disfunciones cómo:
- Vejiga hiperactiva / Incontinencia urinaria.
- Síndrome de micción no coordinada / Incontinencia urinaria.
- Estreñimiento funcional / disinergia recto esfinteriana.
- Encopresis / Incontinencia de heces.
- Malformaciones congénitas.
- Infecciones de orina con origen funcional / micción no coordinada.
- Reflujo vésico ureteral con origen funcional / micción no coordinada..
La ECOGRAFÍA FUNCIONAL, ahora también en 4D, es el eje de nuestro trabajo diario y sin duda la mejor noticia para los pacientes con disfunciones de suelo pélvico.
ECOGRAFÍA FUNCIONAL 2D-4D : HISTORIA Y EVOLUCIÓN
La ecografia en disfunciones abdomino perineales, ECO-DAP, es una parte más de lo que en el año 2006 se definió en Texas, San Antonio, EE.UU como RUSI, Rehabilitative Ultrasound Imaging. En un symposium donde participaron representantes de 6 países (Australia, Canada, Inglaterra, Irlanda, Noruega y EE.UU) y 13 universidades de las mas prestigiosas del mundo.
En este symposium se establecieron las bases del uso de la ecografía en el área de la fisioterapia como técnica para evaluar la función muscular y como sistema de biofeedback para potenciar la recuperación del control motor.
En el año 2011 la World Confederation for Physical Therapy aceptó como subgrupo de trabajo a la International Society for Electrophysical Agents in Physical Therapy (ISEAPT). Quienes a nivel internacional se encarga de regular, entre otras cosas, el uso de la imagen de ecografía en fisioterapia.
La ISEAPT reconoce de forma explícita el uso de la ecografía en fisioterapia y la representante de la ISEAPT en España es la SEEFi (Sociedad Española de Ecografía en Fisioterapia), que a su vez está respaldada en España por la AEF (Asociación Española de Fisioterapia).
Para completar toda esta información y mostrar la importancia y el respaldo del uso de la ecografía funcional en fisioterapia en España, en 2016 la Universidad Francisco de Vitoria de Madrid y la SEEFi organizaron el segundo Symposium Internacional RUSI. Al cual acudieron los mejores ponentes a nivel mundial y del que tuve la oportunidad de participar como tal con la conferencia «Functional ultrasound: chronic pelvic pain syndrome».
ECO-DAP
Este es el nombre con el que nosotros hemos bautizado el uso de la ecografía en el campo de la fisioterapia de suelo pélvico. En ningún caso entra en competencia con ninguna de las actuaciones de los médicos especialistas en radiología, urología, ginecología y proctología u otros ya que los objetivos son diferentes.
La ecografía funcional en fisioterapia uroginecológica y dolor crónico tiene como objetivos:
- Analizar la imagen en tiempo real, y el desplazamiento normal de los tejidos.
- Mejorar el control motor.
- Evaluar las técnicas de tratamiento que se aplican en los pacientes.
- Objetivar la respuesta de las estructuras anatómicas a los cambios de presión abdominal.
- Realizar tratamientos complejos de forma ecoguiada y precisa.
Cualquier unidad de fisioterapia de suelo pélvico que quiera ofrecer a sus pacientes los mejores tratamientos de forma personalizada, debe tener como eje La ECO-DAP. Sin duda es una ventana abierta para observar la función, especialmente importante en niños. Esto es así porque permite valoraciones precisas y tratamientos sin ningún tipo de efecto secundario y sobre todo sin ser invasivos. Cosa que sí ocurre con el resto de tratamientos actualmente.
A todo esto hay que añadir que no estamos hablando de opiniones, ideas, métodos, teorías, modas, etc. si no de una técnica con un grueso de evidencia científica muy importante que comenzó a desarrollarse en la década de los 90, que junto a nuestra experiencia clínica y el conocimiento de la neurofisiología nos ha proporcionado una forma determinada de evaluar y tratar a los pacientes con disfunciones de suelo pélvico, diferente en la mujer, el hombre o el niño.
REALIZA TU CONSULTA
Si quieres contacta para realizar una valoracion de tu suelo pelvico - precio -
Pide tu cita en la Unidad de Fisioterapia Suelo Pélvico llamando al 681 37 36 93






